Spirochetal Pathway Linking Alzheimer’s Disease and Biofilms

THE 3-D Pictorial Spirochetal Pathway to Alzheimer’s Disease

Herbert B. Allen1, MD Judith Miklossy, MD2, PhD

  1. Herbert B. Allen, MD Department of Dermatology, Drexel University College of Medicine, Philadelphia, PA, USA Dermatology, Eastern Virginia Medical School, Norfolk, VA, USA Rowan School of Osteopathic Medicine Geriatrics and Gerontology, Stratford, NJ, USA
  2. Judith Miklossy, MD, PhD International Alzheimer Research Centre, Prevention Alzheimer International Foundation Martigny-Croix, Switzerland

OPEN ACCESS

PUBLISHED: 30 June 2025

CITATION:ALLEN, Herbert B.; MIKLOSSY, Judith. THE 3-D Pictorial Spirochetal Pathway to Alzheimer’s Disease. Medical Research Archives, [S.l.], v. 13, n. 6, june 2025. ISSN 2375-1924. Available at: <https://esmed.org/MRA/mra/article/view/6568>.

COPYRIGHT: © 2025 European Society of Medicine. This is an   open-access    article distributed    under the terms of the Creative Commons Attribution License, which    permits    unrestricted    use, distribution, and reproduction in any medium, provided the original author and source are credited.

DOI: https://doi.org/10.18103/mra.v13i6.6568

ISSN 2375-1924

Abstract

This perspective article features a visual depiction supporting a potential link between spirochetal infection and Alzheimer’s disease (AD). Two-dimensional (2D) images, alongside innovative three-dimensional (3D) imaging derived from 2D photomicrographs, provide the basis for a pathway through which spirochetes travel to the brain, with the hippocampus identified as their initial target. Upon arrival at this specific region, spirochetes can be found both extracellularly and intracellularly. Despite their slow growth, spirochetes eventually create a biofilm. Biofilm formation requires 10 cells in every direction, which can take two or more years for a significant biofilm to develop. To establish the biofilm, the spirochetes produce a slime coating that shields them from antibiotics, the immune system, and harmful irritants. Simultaneously with biofilm formation, spirochetes may induce beta-amyloid precursor protein (AβPP) and beta-amyloid (Aβ) production. In the extracellular space, biofilms can be covered with Aβ to be part of senile plaques. Intracellularly, during biofilm formation, spirochetes also generate amyloid precursors. It can also be hypothesized that spirochetes may induce tau hyperphosphorylation (p-tau), perhaps through a mechanism involving phosphatase inhibition. Accumulation of p-tau prevents the stabilization of microtubules within dendrites, leading to the disintegration of tubules and dendrites. Overall, neurofibrillary tangles are formed that, together with amyloid plaques, contribute to neuronal death. As more dendrites and neurons are destroyed, impulse transmission is impaired, resulting in cognitive deficits.

Keywords

Alzheimer’s Disease, spirochetes, biofilms, beta-amyloid, tau hyperphosphorylation

Introduction

The scope and purpose of this is perspective article is to present the many different precepts present. The most important is the presentation of 3-D vs 2-D images of the documented pathology, immunopathology and microbiology photomicrographs, Bright field microscopy enlarges the images 1000X vs 100,000X in 3D images. Also, the spirochetes are presented as in a darkfield examination. Another precept is the pathology of AD and tertiary syphilis with dementia are similar: the same senile plaques, same tau tangles, spirochetes, etc in each. The background information includes those pathology changes and a discussion of the microbes involved. The methods in the original article included observation and categorization of the changes noted. There are three different spirochetes documented to cause dementia: Treponema pallidum (TP) that causes syphilis and general paresis (GP) or syphilitic dementia; Borrelia burgdorferi (BB) that causes Lyme disease, neuroborreliosis, and Alzheimer’s disease (AD); and oral spirochetes, represented by Treponema denticola (TD), that cause dental plaque and AD. The evidence supporting BB and TD in AD is strong: they have been cultivated from AD brains, BB directly and TD as Spirochaetales. Further, both BB and TD have not only been cultured from AD brains but also have been characterized by immunopathology, fluorescent in situ hybridization (FISH) analysis, atomic force microscopy, and electron microscopy. BB has been further characterized by 16s rRNA and taxonomical analysis by electron microscopy. TP was the first to be noted because it was seen decades ago on silver pathology stains of the brain and was recognized by the number of coils (up to 14) it contained. TD, in its 4 multiple iterations (T. socranskii, T. pectinovorum, T. medium T. amylovorum, T. maltophilum, and T. denticola) was the last to be noted, but it was found on species-specific polymerase chain reaction (PCR). GP forms up to 40% of tertiary neurosyphilis and neurosyphilis forms up to 30% of tertiary syphilis. Thus, syphilitic dementia is seen in a maximum of 12% of patients with syphilis. The same is likely to be true for BB and neuroborreliosis as well. BB has the fewest spirals (as few as three), TD is next with 6-10 and TP has 6-14. Both TP and TD have three characteristic movements: undulation, rotation, and angulation. TP is further distinguishable by sharp angulation as opposed to TD that bends and by TP’s ability to “snap back” from an angulation. The mouth, incidentally, has been a difficult location to determine whether a lesion is a syphilitic chancre because of the close similarity of TP and TD. The three different spirochetes have been fully discussed in the commentary section of this article. The spirochetes in the mouth have the shortest distance to travel: it is but a few centimeters from the mouth to the hippocampus, the first site involved in AD. From there, they can travel to other portions of the brain. BB would have the longest distance to travel, if the tick bite that injected the organism, into the skin was on the lower extremity. The next key occurrence is the formation of biofilms because it is very likely there is no AD without biofilms. Biofilms form when organisms divide and form a quorum which is ten organisms in every direction. To obtain a quorum of spirochetes takes up to 2 years because they divide so slowly. These fits with the clinical appearance of the disease at advanced age. Fischer who studied 12 cases of dementia to Alzheimer’s one, thought the disease was infectious because the senile plaques resembled the sulfur granules of actinomycosis. It is interesting that both the senile plaques and sulfur granules are biofilm structures. One obvious difference is the sulfur granules are surrounded by inflammatory cells of the adaptive immune system while the senile plaques are not (those cells, neutrophils and lymphocytes, are too large to fit through the blood brain barrier). The innate immune system molecule (TLR2) is present, and it creates numerous cytokines such as TLR2/MyD88/TNFa/NF-kB.
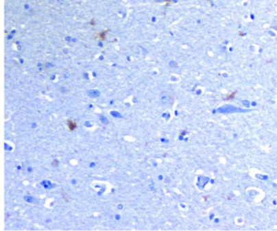
Figure 1. TLR 2 in hippocampal brain section stained with CD 282 immunostain (stains black); with the MyD88 pathway, it creates many of the cytokines noted in AD brains. NFT are noted as “tear drop” structures.
Figure 1. TLR 2 in hippocampal brain section stained with CD 282 immunostain (stains black); with the MyD88 pathway, it creates many of the cytokines noted in AD brains. NFT are noted as “tear drop” structures.
The final necessary observation in AD is the presence of intracellular biofilms: without them there would be no disease. When the intracellular spirochetes make biofilms, they also create beta amyloid (Aβ); and, when Aβ chemically interacts with tau protein, it creates hyperphosphorylated tau (p-tau) likely via a kinase or phosphatase inhibition reaction arising from TLR2/MyD88 generating NF-kB. P-tau no longer stabilizes the neuronal microtubules in the dendrites as does tau, and they disintegrate. This ultimately leads to destruction of the neuron.
Figure 2. A pathway for the production of Aβ and many cytokines.
Figure 2. A pathway for the production of Aβ and many cytokines.
Commentary In the case of the tick bite, once the (BB) is in the skin, the first lesion noted is the “bullseye” rash, Erythema migrans. The BB spirochetes cause this skin lesion, invade the dermal blood vessels, and crawl along the vessel walls until they reach the arterial system and head to the brain. The dental spirochetes predominantly travel from the mouth, via the facial vein, to the cavernous sinus where the hippocampus sits astride the confluence of vessels that make the cavernous sinus. The spirochetes have an affinity for nerves, and they easily traverse the blood brain barrier and enter the brain.
Figure 3. Syphilis and AD pathology comparison of the spirochetes in each disease.
Figure 3. Syphilis and AD pathology comparison of the spirochetes in each disease.
In the brain, the spirochetes
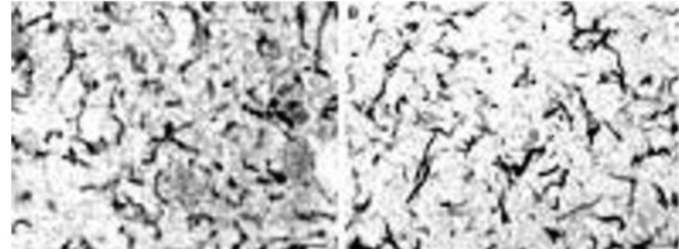
Figure 4. 3-D images of spirochetes.
Figure 4. 3-D images of spirochetes.
are present intra and extracellularly. In both locations, the spirochetes make biofilms
Figure 5A. Cultured BB from AD brains, immediately post-mortem, forms biofilms.
Figure 5A. Cultured BB from AD brains, immediately post-mortem, forms biofilms.
(Figure 5B); these biofilms are found in the senile plaques in the extracellular space, and intracellularly in the neurons. Spirochetes, in both locations, create biofilms and simultaneously create Aβ. Next, the critical step inside the neuron takes place: Aβ comingled with tau chemically converts tau to hyperphosphorylated tau likely by tau kinase and/or phosphatase inhibition, possibly generated by TLR2/MyD88/NF-ÀB.
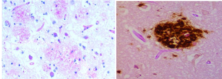
Figure 6A. Senile plaques stained with Periodic Schiff (PAS) for demonstration of biofilms.
Figure 6A. Senile plaques stained with Periodic Schiff (PAS) for demonstration of biofilms.
Figure 6B. Senile plaque stained for biofilm with PAS and for Aβ with Aβ immunostaining.
P-tau causes disintegration of dendritic microtubules that are stabilized by ordinary tau protein. When this occurs, the microtubules fall apart, the dendrites disintegrate and the neuron is destroyed eventuating in a neurofibrillary tangle.
Figure 7. 3-D photo image of senile plaque as seen in Fig. 7B (cut in half).
Figure 7. 3-D photo image of senile plaque as seen in Fig. 7B (cut in half).
Figure 8. Neurons with intact and damaged dendrites. In the left image. The dendrites are elongated on Congo red stain; and, on the right, they are blunted and misshaped. In both images, the arrows point to intact gray dendrites.
Figure 9. Schematic of dendrite microtubule disruption.
Figure 9. Schematic of dendrite microtubule disruption.
Figure 10. 3-D imaging of the schematic in Fig.10.
Figure 10. 3-D imaging of the schematic in Fig.10.
Other organisms do not fit this pattern: gram positive and gram negative bacteria, such as Porphyromonas gingivalis make biofilms in minutes rather than in years. Others such as herpes simplex virus and Chlamydia pneumoniae (CP) have never been shown to make biofilms. They may join in the spirochetal biofilm.
Figure 11. An image of a BB biofilm with Chlamydia pneumoniae (CP) noted in its center.
Figure 11. An image of a BB biofilm with Chlamydia pneumoniae (CP) noted in its center.
From this pathway, it is obvious where treatment intervention would be effective at preventing dementia: kill the spirochetes before they travel to the brain or before they form biofilms. This is already taking place in syphilis where a positive serologic test identifies a patient in the early or latent stages of the disease, and treatment with penicillin (or azithromycin for those allergic to penicillin) will prevent the disease from progressing to tertiary. Lyme disease is like syphilis in that regard because it generally comes from a single tick bite. Consequently, a single treatment as in syphilis would likely be preventative. With oral spirochetes, they periodically seed the brain; and, consequently, they need periodic treatment to ensure they do not form biofilms. We currently recommend a yearly 2 or 3 week course of penicillin (or equivalent) for our patients. In over 250 patients aged 60- 85 treated in this manner, there have been zero cases of dementia. “You can cheat to get a paper. You can cheat to get a grant. You can’t cheat to cure a disease. Biology doesn’t care.” This means if the treatment works, it works or if it doesn’t, it doesn’t. Moreover, the development of resistance to the antibiotic has not occurred. In a small number of patients who have developed AD, the penicillin plus a biofilm disperser (“buster”) seems to restore cognition. This obviously requires a more extended course of penicillin and rifampin or a fluoroquinolone (is both an antibiotic and a biofilm disperser). Ciprofloxin or levofloxacin, fluroquinolones, both kill the organisms and break the biofilms. In summary and conclusion, dental spirochetes make up the vast majority (approximately 90%) of the microbes precipitating AD; BB comprises 10% and syphilitic spirochetes have nearly been eradicated by treatment with penicillin. All these spirochetes make biofilms like almost all the microbes in nature; and they also make Aβ simultaneously when they make biofilms. When this occurs intracellularly (as has been shown), the Aβ chemically reacts with ordinary tau protein and converts it (by tau kinase inhibition) to p-tau. P-tau no longer stabilizes the microtubules in the dendrites (as has been demonstrated) and they disintegrate. They no longer form synapses with other neuronal dendrites; the absence of impulse transmission in the memory center of the brain forms the basis of dementia. We have shown TLR 2 to be present in hippocampal specimens from AD brains (and not in controls). Together with MyD88, presumably from microglia, this leads to the cytokines NFkB and TNFa and many more cytokines. This creates the inflammation necessary to create the tau kinase inhibitor. This TLR 2/MyD88 pathway also creates extracellular Aβ, as has also been shown. The historical comparison of the clinical and pathological findings of syphilitic dementia and AD has shown them to be identical, with the only difference being caused by different spirochetes. Given this, it appears very likely that treatment before the microbes arrive at the brain, or before they make biofilms would likely prevent this scourge from happening. Currently, this is exactly what has occurred in over 250 of our patients aged 60 -85 who have taken a yearly 2–3 week course of penicillin or azithromycin. (The antibiotic is given yearly because dental spirochetes in the mouth constantly seed the brain, as opposed to the single occurrence during syphilitic infection. For those patients with (mild or greater) cognitive impairment, penicillin or azithromycin plus a biofilm disperser, such as rifampin given for a longer interval has been shown in a dozen patients to clear the fog of dementia. A fluoroquinolone, such as ciprofloxacin or levofloxacin, is both an antibiotic and a biofilm disperser, may require only one medication as opposed to two. 9/12 have improved dramatically. This needs considerably more study. The cost of these approaches is in the tens of dollars vs tens of thousands of dollars for the current biologic compounds under study; 200 studies to date on removal of Aβ and/or tau have been fruitless. These have been based on the Aβ theory of the disease and not what we have demonstrated herein.

Approval

All work in this paper was done under the approval of the Drexel College of Medicine institutional Review Board and nearly all the text was peer reviewed in J Alz Dis 2021; 84: 61-67.

References:

  1. Miklossy J. Historic evidence to support a causal relationship between spirochetal infections and Alzheimer’s disease. Front Aging neuroscience, 2015;7: 46
  2. MacDonald AB. Borrelia in the Brains of Patients Dying with Dementia. JAMA. 1986; 256: 2195-2196.
  3. Riviere GR, Riviere GH, Smith KS. Molecular and immunological evidence of oral treponemes in the human brain and their association with Alzheimer’s disease. Oral Microbiol Immunol. 2002; 17: 113-118.
  4. Senejani AG, Maghsoudlou J, El-Zohiry D, Gaur G, Wawrzeniak K, Caravaglia C, Khatri VA, MacDonald A, and Sapi E. Borrelia burgdorferi Co-Localizing with Amyloid Markers in Alzheimer’s Disease Brain Tissues. J Alzheimer’s Dis 2022; 85(2); 889-903.
  5. Miklossy J. Alzheimer’s Disease-A Neurospirochetosis Analysis of the Evidence following Koch’s and Hill’s Criteria. J Neuroinflammation. 2011; 8: 90.
  6. Miklossy, J., Khalili, K., Gern,L, Ericson R, Darekar, P, Bolle, L., … & Paster, B. J. (2004). Borrelia burgdorferi persists in the brain in chronic lyme neuroborreliosis and may be associated with Alzheimer disease. Journal of Alzheimer’s disease, 6(6), 639-649.
  7. Clark EG, Danbolt N. The Oslo Study of the natural history of untreated syphilis:An epidemiologic investigation based on a study of Bruusgaard material a reviewed appraisal. J Chronic Diseases 1955;2(3): 311-344.
  8. Landry T, Smyczek P, Cooper R, Gratix J, Bartholet L, Read R, Romanowski B, and Singh AE. Retrospective review of tertiary and neurosyphilis cases in Alberta, 1973- 2017. BMJOpen.2019; 9(6)e025995 doi: 10.1136/bmjopen-2018-025995.
  9. Allen HB. Alzheimer’s disease: Assessing the Role of Spirochetes, Biofilms, the Immune System, and Beta Amyloid with regard to potential Treatment and Prevention. J Alz Dis. 2016; 53: 1271-1276.
  10. Fischer O and Alzheimer A as reported in Miklossy. Historic evidence to support a causal relationship between spirochetal infections and Alzheimer’s disease. Front Aging Neurosci. 2015; 7: 46.
  11. Allen HB, Allawh R, Touati A, et al. Alzheimers Disease: The Novel Finding of Intracellular Biofilms. J Neuroinfect Dis. 2017; 8: 247.
  12. Miklossy J. Bacterial Amyloid and DNA are Important Constituents of Senile Plaques:Further Evidence of the Spirochetal and Biofilm Nature of Senile Plaques. J Alz Dis. 2016; 53: 1479-1473.
  13. Iqbal K, Alonso AC, Chen S, et al. Tau pathology in Alzheimer disease and other tauopathies. Biochim Biophys Acta. 2005; 1739: 198-210.
  14. Zempel H, Thies E, Mandelkow E, et al. Aβ Oligomers Cause Localized Ca2+ Elevation, Missorting of Endogenous Tau into Dendrites, Tau Phosphorylation, and Destruction of Microtubules and Spines. J Neurosci. 2010; 30: 11938-11950.
  15. Imahori K and Uchida T. Physiology and pathology of tau protein kinases in relation to Alzheimer’s disease. J Biochem. 1997; 121(2):179-188.
  16. Wang J-Z, Grundke-Iqbal I. and Iqbal K. Kinases and phosphatases and tau sites involved in Alzheimer neurofibrillary degeneration. Eur J Neurosci. 2007; 25(1): 59-68.
  17. Allen HB, Vin H, Warner C, Joshi S. Lyme Disease: Beyond Erythema Migrans. 2016; J Clin Exp Dermatol Res 7: 330. doi: 10.4172/2155-9554.1000330
  18. Ebady R, Niddam AF, Boczula AE, Simmons CA, Skare JT, and Moriarty TJ. Biomechanics of Borrelia bugdorferi vascular interactions. 2016: Cell Reports16: 2593-2064.
  19. Singhrao SK, Harding A, Poole S, Kesavalu L, CreanS (2015) Porphyromonas gingivalis periodontal infection and its putative links with Alzheimer’s disease. Mediators Inflamm 137
  20. Itzhaki RF,Wozniak MA (2008) Herpes simplex virus type in Alzheimer’s diseas. The enemy within. J Alzheimers Dis 13, 393–405.
  21. Balin BJ, Little CS, Hammond, CJ, Appelt DM, Whittum- Hudson JA, G´erard HC, Hudson AP (2008) Chlamydophila pneumoniae and the etiology of late-onset Alzheimer’s disease., J Alzheimers Dis 13, 371–380.
  22. Tukel C, Wilson RP, Nishimori M, Pezeshki M, Chromy BA, Baumier AG (2009) Responses to amyloids of microbial and host origin are mediated through toll-like receptor 2. Cell Host Microbe 6, 45-53.
  23. Sapi E, Gupta K, Wawrzeniak K, Gaur G, Torres J, Filush K, Melillo A, Zelger B (2019) Borrelia and Chlamydia can form mixed biofilms in infected human skin tissues. Eur J Microbiol Immunol 9, 46–55.
  24. Maheshwari P, Eslick GD. Bacterial infection and Alzheimer’s disease: a metaanalysis. J Alzheimers Dis. 2015;43(3):957-66. doi: 10.3233/JAD-140621.
  25. Allen HB. A Novel Approach to the Treatment and Prevention of Alzheimer’s Disease Based on the Pathology and Microbiology. Journal of Alzheimer’s Dis. 2021; 84: 61–67.
  26. Allen HB. Alzheimer’s Disease: A Chronic Infection (2020), e book DOI: 10.9734/bpi/mono/978-81-947979-7-5.
  27. Allen HB, Allen RA, Kannan K, Fransko L. The Presence and Impact of Bacteria and Biofilms in Chronic Skin and Systemic Diseases. (2023) doi.org/10.18103/mra.v11i7.2.4160.
  28. Shrag in Piller C (2025) “Doctored: The Devastating Legacy of Lies in Alzheimer’s Disease.” doi: .org/11177/13872877251315762, p 93.
Interested in publishing your own research?
ESMED members can publish their research for free in our peer-reviewed journal.
Learn About Membership

Call for papers

Have a manuscript to publish in the society's journal?